審美治療

esthetic treatment

セレック治療

セレック治療とは

セレックシステムプライムスキャン

詰め物作る際の型取りが気持ち悪くてつらい、治療が始まるといつも期間が長くて続かないなど、感じたことはありませんか?
それもそのはず、詰め物や被せ物を作る際は必ず技工士を通す必要がありますし、型取りに最適の材料はそれしかなかったからです。

当院では、セレックシステム(プライムスキャン・ミリングマシン)を導入し、カメラ撮影で型取りを行う光学印象、そしてそのデジタルデータから即座に詰め物などを製作し、接着する即日治療が可能となりました。

これにより、材料は全く使わず、型取りにかかる時間も半分以下になりました。また、詰め物などの治療に数回の通院が必要だったのが、1回で治療できることにより、全体の通院期間を短縮させることもできました。

セラミックのみの適応になりますが、効率の良いセラミック治療による早い変化に、歯もご自身も大きな自信がつくこと間違いありません。

セレック治療の5つのメリット

  1. 体に優しくノンアレルギー
  2. 銀歯よりむし歯になりにくい
  3. 天然歯のように美しい
  4. 光学カメラで撮影 精密な治療
  5. 通常のセラミック治療より、リーズナブルな価格

セレック治療はこんな方におすすめ

  • 型取りが毎回苦手な方
  • なるべく短期間で治療を終わらせたい方
  • 気になる金属を一気に白くしたい方

セレックの手順
(従来の製作法と比較)

セレック治療だと、高品質なセラミックが従来よりもスピーディーに入ります。

セレック治療
1回目  
  • 歯を削る
  •  
  • 3D光学カメラ撮影
  •  
  • デジタル設計
  •  
  • ミリングマシンによるデジタル精密加工
  •  
  • 修復物セット
従来の治療
1回目  
  • 歯を削る
  •  
  • 型取り
  •  
  • 仮歯制作
  •  
  • 仮歯セット
  •  
   
2回目  
  • 石膏制作
  •  
  • 人の手と目による修復物制作
  •  
   
3回目  
  • 仮歯はずし
  •  
  • 修復物の調整
  •  
  • 修復物セット

セラミックと金属の違い

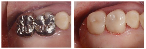
セレック治療画像

銀歯は電位を帯びていて、細菌が付着しやすい材質です。
また、銀歯は歯と金属をセメントで固定しますが、接着する力が弱く、金属の劣化も早いため、年数が経つごとに虫歯や歯周病のリスクが非常に高くなります。

セラミックはほぼ劣化しない特徴と、歯とセラミックを固定する接着剤も強力なため、虫歯や歯周病のリスクを限りなく少なくすることができます。

注意事項

  • 事前予約が必要となります
  • 歯の状態により、1日で治療できない場合がございます
  • 治療後しみるなどの症状が出る可能性がございます
  • 数時間かかることもございます
  • 3~6か月のメインテナンスに来ていただかないと、保証はされませんのでご注意ください

費用について

セレッククラウン ¥85,000
ジルコニアクラウン ¥100,000~
ファイバーコア ¥10,000
仮歯 3,000
歯冠長延長術 20,000
矯正的挺出 30,000

※税込み価格となります。

ホームホワイトニング

ホームホワイトニングとは?

患者様専用のマウスピースをお作りし、専用の薬剤を使って自宅で行うホワイトニングです。
強力な薬剤ではないため、ホワイトニングのスピードは緩やかですが、強い痛みが出にくいのが特徴です。

ホームホワイトニング
ホームホワイトニング

ホームホワイトニングはこんな方におすすめ

  • 削らずに白い歯並びにしたい
  • 自然に笑えるようになりたい
  • 自分のペースで白くしたい
  • なるべく長持ちさせたい

ホームホワイトニングの施術の流れ

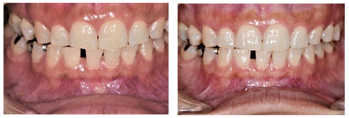
ホワイトニング症例写真

効果的なホワイトニングをするために、問診をさせていただき、納得いただいたうえでをいたします。

1回目の来院
  1. 問診・カウンセリング

    問診票のご記入後、お口のお悩みやホワイトニングについてのご質問などお聞きします。

  2. 診断

    ホワイトニングができる状態か、お口を確認します。

    ※むし歯があるなど、治療が必要な場合は治療後のホワイトニングになります。

  3. 歯の型採り

    むし歯などの治療の必要がなければ、マウスピース作製のための歯の型採りを行います。
    約1週間程度でマウスピースをお作りします。

2回目の来院
  1. 施術部位のクリーニング

    汚れや着色をしっかりお取りし、ホワイトニング効果を高めます。

  2. マウスピースフィッティング

    できあがったマウスピースを装着していただき、不具合が無いか確かめていただきます。

  3. マウスピース・ジェルのお渡し

    患者様専用のマウスピースと専用ジェルをお渡しいたします。
    使用方法などご不明な点ございましたら、お気軽にご相談ください。
    また、ジェルが無くなってしまっても、ジェルのみ販売も可能です。

費用について

ホームホワイトニング(全顎) 15,000

※税込み価格となります。

注意事項

  • 理想まで白くできない可能性がございます
  • しみる症状が出る可能性がございます
  • 効果が出るまで時間がかかります

エアフロー

歯や歯ぐきに優しいクリーニングでツルツルに

白い歯の口元の写真

エアフローとは、細かなパウダーと水・空気を吹き付けることで、歯の表面に付着したバイオフィルム(細菌の膜)やステイン(着色汚れ)をやさしく除去するクリーニング方法です。従来の器具による清掃よりも歯や歯ぐきへの負担が少なく、短時間で効率的に仕上げることができます。

特徴とメリット

歯を傷つけにくい

パウダーと水流でやさしく汚れを落とすため、歯面や詰め物を傷つける心配がほとんどありません。

細かい部分まで清掃可能

歯と歯の間、矯正装置の周囲、インプラント周囲など、ブラシでは届きにくい部位の清掃にも適しています。

着色汚れの除去にも効果的

コーヒー・紅茶・たばこなどによる着色を効果的に除去し、本来の歯の白さを取り戻します。

快適でスピーディー

音や振動が少なく、痛みを感じにくいため、クリーニングが苦手な方にもおすすめです。

このような方におすすめです

  • 定期的なメインテナンスを受けている方
  • 着色やざらつきが気になる方
  • 矯正中やインプラント治療中の方
  • 歯石除去後の仕上げクリーニングを希望される方

費用について

エアフロー 4,000

※税込み価格となります。

審美治療について

審美治療は見た目だけの治療ではない!

審美治療というと、見た目だけの治療と思われる方がとても多いと思います。しかし、保険外診療という素材・治療方法の自由度の広さから、虫歯や歯周病の予防効果や、全体の咬み合わせを大きく改善して食事をしやすくしたり、お口の中の健康をより高めることもできるのです。
一部の治療(詰め物、被せ物、入れ歯、インプラント治療など)では保険外診療をご提案させていただくことがございますので、今後の健康を踏まえ是非ご検討ください。

保険内の金属でアレルギーに?

保険内で使用されている金属「金銀パラジウム合金」は、実は金属アレルギーの大きな原因の一つとなっています。この金属は、お口の中で少しずつ溶け出し体内に蓄積され、許容量を超えると突然発症するようになります。人によって許容量は異なりますが、全員に発症のリスクがあります。
一度発症してしまうと治りにくい病気であり、発疹などの皮膚症状や口内炎、重症化すると手足の水ぶくれや膿が繰り返しできることもあります。ドイツでは使用しないようにという勧告まで出ているのにもかかわらず、日本では未だに使われ続けています。あなたの体の不快症状も、お口の中の金属が原因かもしれません。